اکوکاردیوگرافی پیشرفته

1404/06/18 در ساعت 01:52:42

اکو قلب پیشرفته یکی از روش‌های غیرتهاجمی و مدرن برای تشخیص بیماری‌های قلبی است. این فناوری با استفاده از تکنیک‌هایی مانند اکو سه‌بعدی و داپلر، امکان ارزیابی دقیق عملکرد قلب و عروق را فراهم می‌کند

اکوکاردیوگرافی پیشرفته

اکوکاردیوگرافی پیشرفته:

راهنمای جامع برای تشخیص بیماری‌های قلبی

اکوکاردیوگرافی یکی از ابزارهای مهم در تشخیص و مدیریت بیماری‌های قلبی است. این روش غیرتهاجمی با استفاده از امواج صوتی، تصاویری دقیق از ساختار و عملکرد قلب ارائه می‌دهد. در سال‌های اخیر، پیشرفت‌های قابل توجهی در این زمینه رخ داده است که بهبود تشخیص و درمان را به همراه داشته است

اکوکاردیوگرافی ترانس‌توراسیک؛ انجام اکو قلب با پروب روی قفسه سینه و نمایش تصویر قلب روی مانیتور

اکوکاردیوگرافی چیست❓

اکوکاردیوگرافی، که به آن "اکو" نیز گفته می‌شود، تکنیکی است که از امواج صوتی برای ایجاد تصاویر زنده از قلب استفاده می‌کند. این روش به پزشکان کمک می‌کند تا اندازه، شکل، و عملکرد قلب و دریچه‌های آن را بررسی کنند

انواع اکوکاردیوگرافی پیشرفته

  1. اکوکاردیوگرافی دو بعدی (2D) این روش استاندارد تصاویر دوبعدی از قلب ارائه می‌دهد و برای بررسی ساختارهای اصلی قلب استفاده می‌شود.

  2. اکوکاردیوگرافی سه بعدی (3D) این تکنیک تصاویر سه بعدی از قلب را فراهم می‌کند و در ارزیابی پیچیده‌تر بیماری‌های دریچه‌ای بسیار مفید است.

  3. اکوکاردیوگرافی از طریق مری (TEE) این روش با قرار دادن مبدل در مری انجام می‌شود و تصاویر دقیق‌تری از ساختارهای داخلی قلب ارائه می‌دهد، به خصوص در بیماران با بیماری‌های پیچیده دریچه‌ای.

  4. اکوکاردیوگرافی داپلر این روش برای ارزیابی جریان خون در داخل قلب و عروق استفاده می‌شود و به تشخیص ناهنجاری‌های جریان خون کمک می‌کند.

  5. اکوکاردیوگرافی استرس این تکنیک عملکرد قلب را در شرایط فعالیت یا استرس بررسی می‌کند و برای تشخیص بیماری‌های عروق کرونر بسیار کاربردی است

نمای شماتیک قرارگیری ترانسدیوسر اکو روی قفسه سینه و مسیر امواج برای تصویربرداری از قلب

✅ کاربردهای اکوکاردیوگرافی پیشرفته

  • تشخیص بیماری‌های دریچه‌ای قلب: این روش می‌تواند نارسایی یا تنگی دریچه‌های قلب را به دقت تشخیص دهد.
  • ارزیابی عملکرد قلب: بررسی کسر جهشی (EF) و عملکرد دیواره‌های قلب برای تشخیص نارسایی قلبی.
  • تشخیص بیماری‌های عروق کرونر: به خصوص با استفاده از اکوکاردیوگرافی استرس.
  • تشخیص تومورها و توده‌های قلبی: مانند میکسوم‌های دهلیزی.
  • ارزیابی نقایص مادرزادی قلب: تشخیص و مدیریت نقایص پیچیده در کودکان و بزرگسالان.

مزایای اکوکاردیوگرافی پیشرفته

  • غیرتهاجمی بودن: این روش نیازی به جراحی یا بیهوشی ندارد.
  • دقت بالا: تصاویر با وضوح بالا برای تشخیص دقیق.
  • امکان تکرار: این آزمایش می‌تواند بارها بدون خطر برای بیمار انجام شود.
  • زمان کوتاه انجام: معمولاً در کمتر از یک ساعت تکمیل می‌شود.

چالش‌ها و محدودیت‌ها ❗

  • وابستگی به تجربه اپراتور: کیفیت تصاویر به مهارت تکنسین یا پزشک بستگی دارد.
  • محدودیت در بیماران خاص: مانند بیماران چاق یا مبتلا به بیماری‌های ریوی که کیفیت تصاویر ممکن است کاهش یابد.
  • هزینه‌بر بودن تجهیزات پیشرفته: تکنولوژی‌های جدیدتر ممکن است گران‌تر باشند.

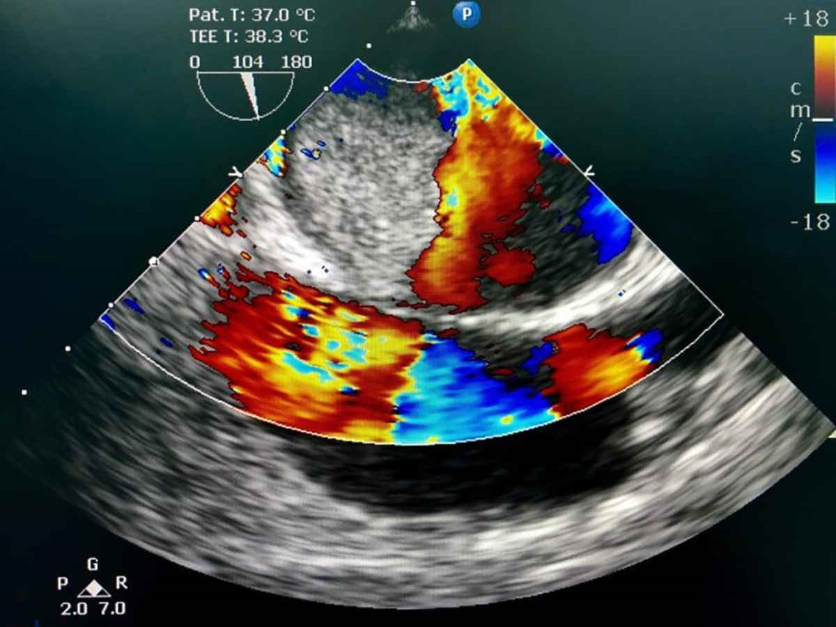
تصویر داپلر رنگی اکوکاردیوگرافی؛ ارزیابی جریان خون قلب و نشت دریچه‌ای

آینده اکوکاردیوگرافی پیشرفته

با پیشرفت فناوری‌های تصویربرداری، انتظار می‌رود که اکوکاردیوگرافی پیشرفته‌تر، دقیق‌تر و در دسترس‌تر شود. تکنیک‌هایی مانند هوش مصنوعی و یادگیری ماشین در تحلیل تصاویر می‌توانند انقلابی در این حوزه ایجاد کنند.

جمع‌بندی

اکوکاردیوگرافی پیشرفته ابزاری قدرتمند برای تشخیص و مدیریت بیماری‌های قلبی است. با وجود چالش‌ها، این روش به دلیل مزایای متعدد خود همچنان در خط مقدم روش‌های تشخیصی قرار دارد. استفاده گسترده از این تکنیک می‌تواند به بهبود کیفیت زندگی بیماران و کاهش بار بیماری‌های قلبی کمک کند.

کاردیومیوپاتی هیپرتروفیک یا ضخیم شدن ماهیچه قلب چگونه اتفاق می افتد؟

1403/03/08 در ساعت 20:55:06

کاردیومیوپاتی هیپرتروفیک نوعی بیماری قلبی است که منجر به ضخیم شدن عضله قلب در سپتوم می‌شود. این بیماری ارثی است و علائمی مانند تنگی نفس، درد قفسه سینه و آریتمی ایجاد می‌کند. بیشتر افراد مبتلا به این بیماری در معرض خطر ایست ناگهانی قلبی قرار دارند.

کاردیومیوپاتی هیپرتروفیک یا ضخیم شدن ماهیچه قلب چگونه اتفاق می افتد؟

تنگ شدن رگ‌های بدن و ارتباط آن با فشار خون

1403/04/10 در ساعت 00:31:56

این مقاله به بررسی علمی و دقیق تنگ شدن رگ‌های بدن (آترواسکلروز) و ارتباط آن با فشار خون بالا می‌پردازد. همچنین، مکانیسم‌های تأثیرگذار، عوامل مؤثر، روش‌های پیشگیری و درمان این مشکلات مورد بحث قرار می‌گیرند

تنگ شدن رگ‌های بدن و ارتباط آن با فشار خون

ارتباط فشار خون و سلامت قلب: تأثیر فشار خون بالا بر بیماری‌های قلبی و راه‌های پیشگیری

1403/08/07 در ساعت 09:54:21

پژوهش‌ها نشان می‌دهند فشار خون بالا خطر بیماری‌های قلبی را افزایش می‌دهد. سازمان‌های بهداشتی توصیه می‌کنند با سبک زندگی سالم و کنترل استرس می‌توان از این خطرات پیشگیری کرد

ارتباط فشار خون و سلامت قلب: تأثیر فشار خون بالا بر بیماری‌های قلبی و راه‌های پیشگیری

تست ورزش چیست؟

1403/12/07 در ساعت 17:52:22

تست ورزش روشی برای ارزیابی عملکرد قلب هنگام فعالیت است. این تست با تردمیل یا دوچرخه ثابت انجام شده و تغییرات نوار قلب و فشار خون بررسی می‌شود. در صورت نتایج غیرطبیعی، آزمایش‌های تکمیلی توصیه می‌شود

تست ورزش چیست؟

کاهش وزن یکی از راه‌های کاهش فشار خون بالا

1399/04/07 در ساعت 19:06:00

چگونه با کاهش وزن فشار خون بالا کاهش می یابد؟

کاهش وزن یکی از راه‌های کاهش فشار خون بالا

اندازه گیری و آنالیز ترکیبات بدن با دستگاه بیوامپدانس (BIA)

1398/12/17 در ساعت 11:03:00

اندازه گیری و آنالیز ترکیبات بدن مانند میزان آب بافت ها، چربی نواحی مختلف و میزان ماهیچه های بدن با دستگاه بیوامپدانس

اندازه گیری و آنالیز ترکیبات بدن با دستگاه بیوامپدانس (BIA)
نظر جدید
0%